Skip to main content

Main navigation

  • About
    • About
    • Community.nano
    • The power of nano
    • Areas of impact
      • Computing & communications
      • Energy
      • Health & health care
      • Manufacturing
      • Prototyping
      • Sustainable futures
      • Toolmaking
    • Facilities and infrastructure
    • Career opportunities
    • Design and sustainability honors
  • Become a user
  • Research & Capabilities
    • Characterization.nano
    • Fab.nano
    • Immersion Lab
    • Publications
    • Annual Research Reports
    • Lincoln Lab Microelectronics Laboratory
    • Equipment Support Plans (ESPs)
    • Propose a Tool/Instrument/Space
    • Facilities Statement
  • News & Updates
    • News
    • Facility Updates
    • Nano Day
    • Opportunities
  • Programs
    • START.nano
    • STUDIO.nano
    • Tecnológico de Monterrey
    • Lab for Education & Application Prototypes (LEAP)
  • Events & Seminars
    • The Nano Summit
    • Seminar Series
    • The Mildred S. Dresselhaus Lecture Series
    • Microsystems Annual Research Conference (MARC)
    • IMMERSED
    • Nano Explorations
    • NSL Community Meetings
    • Tool Talks
    • All Events
  • MIT.nano Consortium
    • MIT.nano Consortium
    • Current Members
    • Member Benefits
    • Benefits to MIT
    • Join the Consortium
    • Member Login
  • Contact & People
    • MIT.nano staff
    • Advisory groups
    • Scholars council
    • Contact us
    • Request a tour
    • Join our mailing list

Consortium Portal

  • Member Login
MIT
Menu
MIT.nano
Menu
Become a user
MIT

Breadcrumb

  1. Home
  2. Node

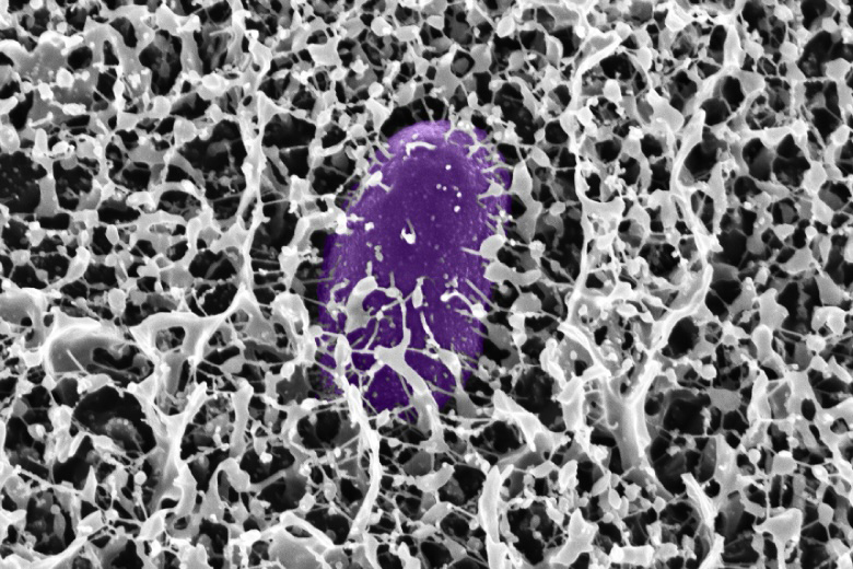
Implantable islet cells could control diabetes without insulin injections

The cells can survive in the body for at least three months, producing enough insulin to control blood sugar levels, research shows.

March 26, 2026

MIT engineers design proteins by their motion, not just their shape

An AI model generates novel proteins based on how they vibrate and move, opening new possibilities for dynamic biomaterials and adaptive therapeutics.

March 26, 2026

Active Surfaces aims to install peel-and-stick solar panels everywhere

This award-winning startup with roots at the MIT Energy Initiative is developing lightweight, flexible, high-efficiency solar energy films designed to be used on roofs, walls, and any curved surface.

March 24, 2026

A complicated future for a methane-cleansing molecule

A new model shows how levels of the “atmosphere’s detergent” may rise and fall in response to climate change.

March 24, 2026

Stamping high-res imagery onto everyday items to “reprogram” their appearance

The portable “ChromoLCD” device combines LCD and LED lighting to customize high-quality designs onto things like shirts and whiteboards.

March 23, 2026

CryoPRISM: A new tool for observing cellular machinery in a more natural environment

The method allows researchers to observe biomolecular complexes in a quick, accurate, and budget-friendly way, providing new insights into bacterial protein synthesis.

March 20, 2026

Lasers, robots, action: MIT workshop explores Raman spectroscopy

Participants learn how laser “fingerprinting” can help identify materials in fields ranging from law enforcement to art restoration.

March 20, 2026

Turning extreme heat into large-scale energy storage

Fourth Power, founded by Professor Asegun Henry, is developing thermal batteries for efficiently storing excess electricity from utility grids and power producers.

March 18, 2026

New sensor sniffs out pneumonia on a patient’s breath

The technology could enable fast, point-of-care diagnoses for pneumonia and other lung conditions.

March 16, 2026

Ocean bacteria team up to break down biodegradable plastic

MIT researchers uncovered the roles of bacterial species from the environment as they consume biodegradable plastic.

March 16, 2026

Pagination

  • First page « First
  • Previous page ‹ Previous
  • Page 1
  • Current page 2
  • Page 3
  • Page 4
  • Page 5
  • Page 6
  • Page 7
  • Page 8
  • Page 9
  • …
  • Next page Next ›
  • Last page Last »
Subscribe to

Spotlight

LAB14 joins the MIT.nano Consortium

News

April 3, 2026
Toward cheaper, cleaner hydrogen production
April 3, 2026
Electrons in moiré crystals explore higher-dimensional quantum worlds

Events

April 8, 2026
2026 MIT AI Conference — April 14
April 7, 2026
2026 MIT Enterprise AI Forum: Scaling AI for Real-World Implementation and Impact—Apr. 15

Opportunities

January 31, 2026
Record a message for deep space — Submissions close Feb. 27
January 27, 2026
Breakerspace Microscope Image Contest IAP 2026

Footer

  • Accessibility
  • MIT Now
LinkedIn
Instagram
Twitter
YouTube

© MIT | Massachusetts Institute of Technology | mitnano@mit.edu